Arthritis and arthritis are diseases of the musculos-bone system that have common features.Each of these diseases causes irreparable damage to health, and if you do not seek medical attention in time, non-refundable consequences may occur, implying disability and disability.
In this article, we believe that the difference between arthritis and arthrosis, the cause and mechanism of their development, as well as symptoms and treatment.
Causes of arthritis and arthrosis
Among the main causes of arthritis, they differ:
- Rheumatoid causes of autoimmune nature in which body cells begin to attack their own tissues, taking them as parties.The reasons for this process are not yet clarified;
- Contagious (tuberculosis, tick-borleriosis);
- Secondary, in which arthritis develops against the background of other diseases (systemic lupus erythematosus, psoriasis);
- Breach of metabolism (gout).

The reasons of arthrosis are as follows:
- Congenital irregularities in development (joint dysplasia);
- injuries;
- Natural body aging processes;
- Metabolic offense, hormonal changes (menopause in women);
- Excessive physical activity, including professional sports, monotonous work (per light bulbs);
- Secondary (arthrosis can develop due to arthritis).
Physiological processes
Both pathologies affect joints, but differ in the nature of change.
With arthritis
Arthritis is an inflammation of the connective tissue - a sinum membrane that contains many vessels and provides lymph flow.The inflammatory process leads to violation of the diet of articulated tissues, as a result of which the production of articulated lubrications - Sinovian liquid is limited.
With arthrosis
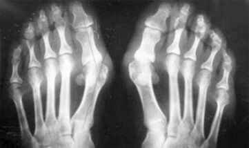
Arthrosis is a degenerative-dystrophine process associated with the destruction of tissue cartilage wrists.The rink is gradually destroyed, dry, the distance between the bones of the joint decreases, which is the cause of pain.In severe forms, destruction affects bones.They become porous, lose density, become fragile.
What is the difference
For example, what is the difference between arthritis and the arthrosis of the knee wrist?In addition to arthritis, Sinovi shell of articulated tissues.This causes an increase in temperature in the compound.
Shared swollen, it develops a persistent pain syndrome, intensification during the movement.In addition to arthrosis, pain occurs only after physical activity, you can hear the characteristic mater or clicks in the compound, a gradual compound is deformed and loses mobility.
The difference between arthritis and the arthrosis of the fingers and hands of the hand is that the first disease is cured and other is not.They touch with arthritis, sinovial shell and the capsule of the wrist.
The defeat of cartilage and bone tissue occurs only in the late phases in the neglected state.With arthrosis, the cartilage tissue is first affected, and then the bone, the inflammation of the sinum membrane is secondary origin, ie it develops against their background.
Symptoms: What is the difference between arthritis and arthrosis
Arthritis is accompanied by symptoms that are characteristic of inflammation:
- The body temperature is growing, cold appear, weakness occurs throughout the body;
- Local temperature of the affected joint, its soft tissue grows;
- Common folding, skin around the blush;
- There is joint deformation;
- Its mobility decreases;
- The stiffness that takes place within an hour after physical activity is observed in the morning;
- Bola syndrome is also present when moving and at rest;
- Complications are noticed in the form of lesions of internal bodies (heart, lungs);
- increased sweating occurs;
- Body weight is reduced.
Arthrosis is developed gradually and not noticeable in the early stages.It is often taken for physical fatigue.The chronic form of arthrosis is also called osteoarthrosis.When asked what is worse - arthrosis or osteoarthrosis, the answer is obvious.The last option is due to the development of arthrosis and its acute form.
Among the symptoms of arthrosis, the following are characterized:
- Pain appears after physical activity, with sudden movements, turns, preferences, after vacation, passes pain;
- The characteristic crumb in the joints is noticed;
- After a long rest pain, which passes within 15-20 minutes of mobility (this is associated with stagnant phenomena occurring in the compound);
- worried about the nightly boring pain of pain that occurs due to venous stagnation;
- The inflammatory form of pathology is accompanied by edema and pain;
- The wrist is deformed, his mobility is declining.

As you can see, the differences in the symptoms are insignificant: In both cases there is pain, stiffness and fatigue.Arthritis and arthritis can affect different compounds in the human body.With the damage to the spine and interfacebral disks, osteochondrosis is developed - the arthrosis is similar.Depending on the place of disease, ankle arthritis, shoulders, hook and so on.
The details of the symptoms and differential diagnostics will help exactly determine pathology - arthritis or arthrosis.
Difference in treatment
Arthritis treatment is focused on the reconstruction of the immune system, elimination of inflammation.With arthrosis, the main task is to prevent tissue destruction and symptoms.
The treatment of arthrosis deals with an orthopedic doctor, arthritis - rheumatologists and numerous other doctors, depending on the origin of the disease.
The main therapy for arthritis includes the use of anti-inflammatory non-hormon agents, antibiotic therapies, and in difficult cases - hormonal therapies and getting immunosuppression.
They were used arthrosis, antimatory, painkillers, hormonal remedies, vein tiners and hondroprotectors.
In both cases, the sick joint provides rest, reduces the burden and therapeutic gymnasics and physiotherapy are used to renew.
Therapeutic gymnastics affects the improvement of the state of ligaments and joints, develop their flexibility and mobility.It must be borne in mind that exercises can only be done during the remission period and in the absence of inflammation.A complex of an orthopedic or physiotherapy expert can choose a set of exercises, depending on which joint is injured.
It is very important to observe the correct implementation technique so that it does not harm joints.All movements should be slow and smooth.Exercising exercises should not cause discomfort and bring pain, otherwise, a lesson should stop or move to another type of exercise.Initially, it is better to perform exercises under the supervision of the doctor, and then turn them involved in everyday practice at home.

In order to facilitate joint mobility, special orthopedic products are used: compression pads for knees, corsets, cervical collars and other accessories, depending on the damage zone.
Physiotherapy is useful in both cases, and arthritis is done only during the remission period.It has the least contraindications and side effects, does not cause allergic reactions and is suitable for most patients.
Methods of electrophoresis, ultrasound, phonoforres, magnetotherapy, striking wave therapies, cryotherapy are used.
All of them are conveniently affecting the recovery process, contribute to the deeper penetration of drugs in the tissues, improve blood circulation, lymph flow, metabolic processes and the initiation of natural regeneration processes.
In severe cases, when the joints are completely destroyed, the endoprosthic operation or complete wrist replacement is performed.
Traditional medicine in the treatment of arthrosis and arthritis
When the folk medicines are used in the treatment of arthritis and arthrosis, therefore, therefore, the phase of disease and the risk of allergic reactions, therefore, before their use, is necessary to advise a doctor.With arthritis, the use of additional non-traditional treatment products is allowed only during the remission, it is due to the autoimmune nature of the disease.
As a therapeutic agents, decomtions and tinctures that relieve inflammation, applications and baths that relieve swelling, rubbish and fat.Prevention and treatment of folk drugs should play auxiliary, not a major role.This should always be taken into account in such serious diseases.
With arthrosis it is used with salt.A glass of snow is mixed with 1 tablespoon salt, a painful joint is rubbed with a mixture for 5 minutes.
To restore chicken tissue for arthritis and arthrosis, chamomile tinctures, needles and aloe are used.The mixture can be added to the arms, or to do applications.
Animal fats mix in fat: crowd pork, thigh fat, lace.Are mixed with calendur or trench.They contribute to pain eases, improving diet and reduce inflammation.
Squeeze with fresh leaves.The Burdock or cabbage sheet is lubricated with honey, applied to a painful connection, covered with polyethylene and warm tissue and left overnight.

Clay mixes with water to a sour cream density, applied gauze impregnated mixture and left for an hour.It is necessary to repeat the application within two weeks a day.
In equal proportions you can mix the juice for Aloe, vodka and honey.To impregnate gauze with this mixture and fasten to a painful place in 1 hour.
Like a fat, chamomile, hops, Sv.John Wort and Petroleum want to mix.Sign up everyday month.
Two spoons of crushed colors are added to 150 ml of vegetable oil (olive, sesame, hemp and any other), it is possible to not exchange a week and used as fat.
Freshly clenched aloe juice is taken within 2 teaspoons 4 times a day.
Two spoons of St. John and Pelin pour 1 liter of boiling water, let him not crush for 10-15 minutes and take 1 tablespoon.
Dandelion flowers are poured vodka in a ratio of 1 part of dandelions + 2 parts of the liquid, they insisted 2 weeks and used for garbage.
What is the difference between osteochondrose and osteoarthritis
These concepts are similar.And osteochondrosis and osteoaaarthrosis are accompanied by destroying tissue cartilage joints.With osteochondrose, spine's joints, interviolent disks affect the osteoarthritis - the hinds of the limbs.
Prevention
To prevent the development of common diseases, you need to know about risk factors.They include:
- Processes of body aging, exhaustion and deterioration of tissue nutrition;
- The sedentary lifestyle causes the emergence of standing phenomenon, violation of blood circulation, lymph flow, spine curvature;
- Excess weight monitors the violation of metabolism in hormonal and endocrine systems, excess loads on spine, joints and heart.

The following recommendations in everyday jobs need to be introduced for prevention.Great sports and soft types of fitness have a good effect on the state and maintenance of joints, ligaments and spine.
Two to three times a week to prevent the development of standing phenomena and improving overall well-being.
For body cells, it is necessary to diversify their diet with products rich in polynesatured fatty acids, vitamins b and p.It is necessary to consume cereals, vegetables and fruits, whole cereals, low-correct meat, as well as reducing product use containing harmful carcinogenic substances, fried, raw, salty and acute containers.
To form real nutritional habits and diets, you can consult a diet.
The psychosomatic nature of described diseases suggest that it is necessary to avoid stress, solve conflict situations in constructive ways, not to succumb to desperate and depression.
Conclusion
Arthritis and arthritis are quite serious human diseases, leading to severe irreversible consequences.The hidden nature of the development of arthrosis does not allow him to identify him in the early stages.Therefore, it is very important to be careful about your health, not wait until pain "does not occasionally seek medical attention.



















